Robotic Revision Hip Replacement
Advanced Precision Surgery by Dr. Shubhankar Shekhar at Mrityunjay Hospital, Meerut
What is Robotic Revision Hip Replacement?
Robotic Revision Hip Replacement is a highly advanced and complex procedure performed when a previously replaced hip joint fails due to loosening, wear, infection, dislocation, or implant-related complications. Unlike primary hip replacement, revision surgery requires exceptional precision, meticulous planning, and expert surgical execution.
With the use of robotic assistance integrated with advanced segmentation technology, surgeons can accurately assess bone loss, implant positioning, and individual anatomy prior to surgery. This level of detailed pre-operative planning helps improve surgical accuracy, safety, and overall clinical outcomes.
Currently, this advanced robotic revision hip replacement with segmentation-based planning is offered in India under the expertise of Dr. Shubhankar Shekhar, making the country an emerging destination for patients seeking advanced solutions for complex and failed hip replacement cases.
What Makes Robotic Revision Hip Replacement Different?

Preoperative Planning

Preoperative Planning

Preoperative Planning

Preoperative Planning

Preoperative Planning

Preoperative Planning

Preoperative Planning

Preoperative Planning

Preoperative Planning

Preoperative Planning
Revision hip surgery is not a “repeat” of primary surgery—it is significantly more challenging. Robotic technology transforms this complexity into controlled precision.
Key Advantages:
- 3D Preoperative Planning with Segmentation
o Detailed separation (segmentation) of bone, old implant, and soft tissue - Accurate Assessment of Bone Loss
- Precise Implant Positioning
- Improved Stability & Longevity of the New Implant
- Reduced Risk of Repeat Failure
- Higher Safety in Complex & Failed Hip Cases

Pre Operation

Post Operation
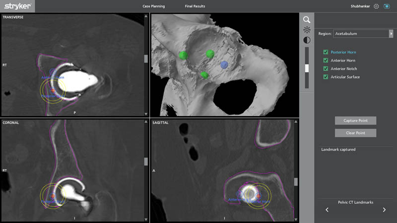
What is Segmentation Capability and Why Is It Critical?

Femoral CT Landmarks

Pelvic CT Landmarks

Pelvic CT Landmarks
Segmentation is an advanced imaging and planning process where CT-based data is converted into highly detailed 3D anatomical models. This allows the surgeon to:
- Identify exact areas of bone loss
- Plan implant removal safely
- Customize implant size and placement
- Avoid vital structures
- Anticipate surgical challenges before entering the OT
Dr. Shubhankar Shekhar is currently the only orthopaedic surgeon in India and Asia offering robotic revision hip replacement with advanced segmentation capability. His expertise places Mrityunjay Hospital, Meerut, India at the forefront of complex and failed hip revision surgery, attracting patients from across the country and the Asian region.
Who Needs Robotic Revision Hip Replacement?
This procedure may be recommended if you have:
- Pain after previous hip replacement
- Loosening or wear of hip implants
- Recurrent hip dislocation
- Implant failure or fracture
- Infection around the hip joint
- Severe bone loss after earlier surgeries
- Poor outcome from conventional revision surgery
If you have been told that your case is “high-risk” or “too complex”, robotic revision hip replacement may offer a safer alternative.
Why Choose Robotic Assistance for Revision Hip Surgery?
Traditional revision surgery relies heavily on intraoperative judgment. Robotic-assisted revision surgery, however, offers data-driven precision.
Robotic Benefits:
- Real-time accuracy during surgery
- Enhanced implant alignment
- Better limb length restoration
- Reduced surgical guesswork
- Improved functional outcomes
This level of control is especially crucial in revision cases where anatomy is already altered.
Dr. Shubhankar Shekhar – Pioneer of Robotic Revision Hip Replacement in India
Dr. Shubhankar Shekhar is a leading orthopaedic and hip replacement surgeon known for introducing and mastering some of the most advanced hip preservation and reconstruction techniques in India.
Why Dr. Shubhankar Stands Apart:
- Only surgeon in India performing robotic revision hip replacement with segmentation
- Extensive experience in complex and failed hip surgeries
- Trainer and mentor to orthopaedic surgeons across India
- Evidence-based, patient-specific surgical planning
- Commitment to ethical guidance and long-term outcomes
Every revision surgery is personally planned and executed by Dr. Shubhankar to ensure maximum safety and success.
Why Mrityunjay Hospital (MOH) is a Center of Excellence for Hip Revision
Mrityunjay Hospital, Meerut, offers world-class infrastructure combined with expert surgical care.
What MOH Provides:
- Advanced robotic surgical systems
- High-end imaging and planning software
- Dedicated hip replacement OT
- Multidisciplinary post-operative care
- Personalized rehabilitation protocols
Global-level technology with local accessibility—patients no longer need to travel abroad for advanced hip revision surgery.
Benefits for Patients from Across India
- Access to advanced robotic revision hip replacement surgery available in India
- Enhanced surgical precision for complex and failed hip replacement cases
- Reduced risk during implant removal and reconstruction
- Improved implant alignment and long-term joint stability
- Faster functional recovery compared to conventional revision surgery
- Expert evaluation, transparent consultation, and realistic outcome planning
Is This Procedure Available in India?
Yes.
Robotic Revision Hip Replacement with segmentation capability is available in India exclusively under Dr. Shubhankar Shekhar at Mrityunjay Hospital, Meerut.
This ensures that patients across India and neighboring countries can receive cutting-edge hip revision care without traveling overseas.
Book a Consultation for Robotic Revision Hip Replacement
If you or your loved one is suffering from a failed hip replacement or has been advised revision surgery, get an expert opinion.
Mrityunjay Hospital: Near GIC College, Begum Bridge Road, Meerut – 250001, Uttar Pradesh, India
Contact Person: Dr. Shubhankar Shekhar
Call: +91-9837054400, WhatsApp: +91-9068168434
Consultation available for: Complex and international hip revision cases
Advanced science. Surgical precision. A second chance at pain-free mobility.

